//

Subscribe to our newsletter to receive the latest news and events from TWI:

Subscribe >
Skip to content

Technical Insight: Cold Spray

The cold spray process has a range of applications in industry, including for repair, functional sprayed coatings and additive manufacture. The process works by accelerating powder particles (typically between 10 to 40 µm in size) at a substrate using a supersonic compressed gas jet. The particles strike the substrate at high velocity where they undergo rapid and extreme plastic deformation which disrupts the thin surface oxide films present on all metals and alloys. The particles bond with the exposed metal surfaces creating layers of powder coating.

TWI’s experience with cold spraying goes back decades and covers a variety of industry sectors, where we have offered impartial, independent expert advice and support…

- Cold Spray - New Method for Metal Deposition

Back in 2004, cold spraying was still a relatively new process for depositing metals and their alloys as coatings without having to subject parts to high temperatures. While the advantages of the process were quickly realised – including a lack of thermal degradation, evaporation or oxidation – there was a need to check characteristics of cold sprayed parts. This project sought to determine microstructural characteristics such as porosity, oxide content and the adhesion of cold sprayed copper, aluminium and 316L stainless steel coatings.

- Coaxially Laser Assisted Cold Spray (Additive Manufacturing)

The European Commission-funded COLA project investigated the use of cold spray for aeroengine maintenance, repair and overhaul. With many airlines now leasing engines the responsibility for maintaining them falls to manufacturers and their suppliers, not just during production, but throughout their service life.

- Engineered Powders UK

Funded by Innovate UK, the ENGPOW project aimed to extend the use of cold spray for in-service wear/corrosion damage repair for high-value aluminium, magnesium and titanium aerospace parts. This project saw our experts assist in the development of special heat-treated cold spray powders. At the time of the project, TWI had the only independent state-of-the-art cold spray research facility in Europe.

- Cold Spray Radical Solutions for Aeronautic Improved Repairs (Additive Manufacturing)

The CORSAIR project saw a deep and systematic investigation of the capabilities of cold spray technology for the maintenance and repair of aeronautic frames and components.

- Safer, Low-Cost Nuclear Material Storage through Cold Spray-Formed Boron Carbide-Coated Components

The SafeStore project looked into the use of cold spray-formed boron carbide coated components for the transport and/or storage of spent nuclear fuel. The materials under consideration for the cannisters were both composite plate materials consisting of aluminium (or aluminium alloys) containing varying proportions of boron carbide particulates, which have a high neutron absorbing capability. These metal matrix composites (MMC) materials had proven difficult to produce in any shape other than flat plates, which limited their use for containers and canisters. This project used cold spray coating technology to produce a material that could be applied to sheet metal fabrications in thicknesses up to tens of millimetres. Coatings were developed and applied to steel samples and plates before the deposition parameters were further improved. The use of coatings delivered better design flexibility and hence better and more cost-effective dry cask storage options.

- Mepic Heater

This project evaluated the feasibility of step changing productivity and competitiveness by supplementing the thermal spray process using low pressure cold sprayed pre-oxidised transition metals to create functional thick-film heater coatings. TWI provided powder behaviour expertise along with performance and selection advice, as well as surface characterisation and relevant measurement techniques. We also provided access to high temperature/ high pressure cold-spray equipment for the work, which promised further relevance in other high-volume outlets, including automotives, white goods and plastic injection moulding.

- Cold Spray - Improved Corrosion and Wear Resistant Coatings by Cold Spray

This 2009 joint industry programme (JIP) project was created to address technology gaps in the use of cold spray technology to deposit virtually pore and oxide free metallic corrosion and wear resistant coatings. While data had covered the concept, process modelling and equipment development, there had been little published data on corrosion and wear resistance or cold spray deposit cohesive strength outside of a small number of basic metals. The TWI team worked to investigate engineering materials such as corrosion resistant metals and alloys and metal-bonded carbide, so that cold spray could be validated for applications such as corrosion resistant vessels, hard-facing, spray-forming and additive manufacturing. There was also very little data about the relationship between cold spray particle flight characteristics and the coating properties.

- Cold Spray Technology Report

As well as providing direct project support for cold spray, TWI has also assisted industry with the creation of a report that served as a guide to the technology, including available systems and factors that should be considered in establishing a cold spray facility. This report was based on our experience in specifying, selecting, installing and commissioning a cold spray facility.

- Spray-Formed Ti and Ti Coatings Prepared by Cold Spray

This 2011 core research programme (CRP) project aimed to advance the state-of-the-art by investigating the use of cold spray to produce thick titanium (Ti) and Ti alloy deposits. The process was investigated for use in generic applications such as repair and spray-forming, in addition to its potential for producing corrosion resistant Ti coatings, with and without a range of post-deposition treatment.

- Corrosion of Cold Sprayed Tantalum Coatings

Having investigated titanium, the attention of our experts turned to the use of cold spray to create tantalum (Ta) coatings without significant chemical degradation of or phase changes in the starting powder material. Microstructurally dense and impurity-free, Ta coatings offer corrosion properties similar to those of bulk Ta when tested in a sulphuric acid (H2SO4) solution. For this reason, there was considerable interest in further developing the deposition of Ta via cold spraying and in the potentially unique properties of the resultant coatings. This project worked to demonstrate the corrosion protection capabilities of cold sprayed Ta coatings in aggressive aqueous environments and establish the parameters for their practical usage in extreme industrial applications.

- Cold Spray Systems for Nickel Alloy 718 Coating Deposition

Interest from industry in the use of cold spray technology for the coating and repair of Aluminium, Magnesium, and Titanium (Ti) alloy airframe and engine components, Ti alloy medical devices, Nickel alloy gas turbine components, and the use of metal-matrix composite (MMC) coatings for electronic devices led to the creation of a dedicated core research programme (CRP) project for the benefit of our Industrial Members. This work benchmarked cold spray systems and described the effects of process gas type, temperature, and pressure on the properties of cold spray deposited nickel alloy 718, showing that it was possible to reduce porosity and increase coating adhesion by using helium as a process gas instead of nitrogen, although at a greater cost.

- Adhesive-Free Bond Strength Test Method for Cold Spray Coatings

Cold spray technology advances allowed for increased coating bond strengths that matched the maximum strength of available adhesives (70MPa). TWI tested these bond strengths to ascertain the true bond strengths of both high velocity oxygen fuel (HVOF) and cold spray deposits that can be in excess of 150 MPa. This work validated the adhesive-free adhesion test for assessing coatings with bond strengths over 90 MPa (Figures 1-2).

- Cold Spray Deposition of a Powder Produced from a Beta Titanium Alloy

As cold spray repair continued to advance as a method for repairing titanium alloys there were still challenges around achieving sufficiently dense, well-bonded coatings using a cost-effective process gas such as nitrogen. Although most repairs aim to use a deposit with the same composition as the substrate, high density materials require the powder particles to sufficiently deform to prevent the formation of pores. For example, with titanium alloys such as Ti-6Al-4V, it is thought that the powders produced from conventional gas atomisation have limited ductility due to their microstructure of primarily of hexagonal close packed alpha. As such, TWI investigated depositing alternative titanium alloys with greater ductility as a route to higher performance deposits, despite issues surrounding depositing a dissimilar metal combination (Figures 3-4).

- Cold Spray Evaluation Programme Success with Ansaldo Energia

Our experts collaborated with Italian power engineering company Ansaldo Energia to conduct some experiments with cold spray on discs to create a coating thickness of ~250µm in four passes. Following the spray deposition, the disc samples were diffusion heat treated. The cold sprayed parts showed smoother surface morphology and less coating degradation than with alternative coating methods (Figure 5).

- Cold Spray Enables Welding of Crack-Sensitive Alloys

Cold spray was also investigated as a technique to assist with welding processes for 6xxx series aluminium alloys. The 6xxx series weld metal composition is often modified with the addition of 4xxx series filler wire or foil to prevent cracking, but conventional fillers can be difficult to introduce due to limited access to some components. Cold spray provides a solution for coating irregular shapes with a buttering layer ahead of welding. TWI undertook trials that showed the cold spray process provides layers of sufficient thickness to act as a buttering layer as well as allowing for pre-weld machining if required for part fit-up. The welds including the coated filler layer were less crack sensitive than those where the cold sprayed filler were not used, showing the feasibility of using a cold sprayed buttering layer to enable EB welding of crack sensitive aluminium alloys. The process also showed promising hardness results and opened opportunities for application of a cold sprayed layer onto complex geometries ahead of machining and welding (Figures 6-7).

- Cold Spray AM of Oxide Dispersion Strengthened Alloys

Characterised by their high creep resistance, toughness, and oxidation resistance, oxide dispersion strengthened (ODS) alloys are engineered materials designed for superior performance at elevated temperatures. Because ODS alloys effectively absorb and trap radiation-induced defects, preventing their accumulation and subsequent material degradation, they are particularly suitable for use in nuclear reactors, where components are exposed to high neutron flux and temperatures. The production of ODS alloys conventionally involves two main stages; powder fabrication and consolidation using methods including extrusion, forging, cold pressing, field-assisted sintering, or near-net-shape hot-isostatic pressing (HIP). These methods have significant limitations, including scalability to large and complex structures, consistency and homogeneity, reproducibility, and difficulty in achieving near-net-shape parts.

Cold spray additive manufacturing was investigated at TWI for producing large-scale, in-vessel components for fusion reactors, including diverters, first-walls, breeder-blankets, and centre-columns. This research work tested the suitability of ODS alloys for cold spray, including determining the optimal cold spray parameters and conditions for depositing these alloys. In addition, our experts developed and refined toolpaths for creating complex geometries, including features such as internal cooling channels, and examined post-processing techniques, including the development of suitable post-deposition thermal treatments to enhance the microstructural and mechanical properties of the ODS alloys (Figures 8-12).

- Laser Assisted Cold Spray (LACS) of Titanium Alloy Ti6Al4V

Continuing our research into the use of cold spray led to the publication of the research article, ‘Understanding the effect of substrate preheating temperature and track spacing on laser assisted cold spraying of Ti6Al4V’ in 2023. This comprehensive investigation, conducted alongside Coventry University and the University of Leicester, focused on the parameters affecting the quality and efficacy of laser assisted cold spray (LACS) of titanium alloy Ti6Al4V, which is widely used in aerospace applications.

The study showed enhanced coating-substrate adhesion through extensive interfacial mixing, creating a substantial improvement in deposit density. The effects of residual stresses were also examined in the study, which showed the potential advantages of LACS over conventional cold spray (Figures 13-15).

- Porosity Predictions during Cold Spray Deposition

Another research article produced by TWI experts investigated ‘Machine Learning-Based Predictions of Porosity during Cold Spray Deposition of High Entropy Alloy Coatings.’ This research, which was conducted alongside the University of Leicester, took a machine learning-based approach to predict porosity during cold spray deposition based on feedstock powder characteristics and the cold spray process parameters.

Despite the advantages of the process, cold spray deposition can lead to porosity as a result of geometrical effects at the particle/particle interfaces, and as stack porosities, which are due to variations in the density of particles in the gas flow. Both interface and stack porosities are detrimental to the mechanical properties and corrosion mitigation behaviour of the coating once deposited.

The research used a total of nine different machine learning models based on linear regression (LR), decision trees (DT), random forests (RF), gradient boosting (GBOOST), support vector machine (SVM), and neural networks (ANN) to predict the formation of porosity.

The final dataset, which was derived from the literature and experiments, identified SVM with a linear kernel and LR as the top-performing models based on the Pearson correlation coefficient (PCC) and root mean square error, where the PCC values exceeded 0.8 (Figure 16). In addition, the SHapley Additive exPlanations (SHAP; Figure 17) method helped identify that the type of gas and powder morphology are the top two factors in pore formation.

- New Cold Spray Paper Published in Thermal Spray Journal

TWI research into cold spray has also found its way into other publications, including the Journal of Thermal Spray Technology, who published the study, ‘Optimizing Cold Spray Parameters for High Entropy Alloy Coatings Using Taguchi and Box–Behnken Design Approaches for Mechanically Alloyed Powder.’ Co-written by experts from TWI, the paper focused on the optimisation of cold spray process parameters for depositing Fe20Cr20Mn20Ni20Co20 (Cantor alloy) coatings using mechanically alloyed powder.

The study outlined two experiment – an initial screening of input variables using the L8 Taguchi method, and the refining of process parameters via Box–Behnken experiments. These experiments looked into deposition efficiency and coating thickness per pass as well as examining microstructural parameters including porosity, cracks, and interfacial defects/delamination.

The paper determined that process gas temperature was the primary factor influencing deposition efficiency and thickness per pass, with a higher gas temperature and pressure, combined with increased scanning speed, resulting in higher deposition efficiencies.

Our work investigating cold spray as a solution for coatings, repair and manufacture continues across a range of applications and industries including oil and gas, aerospace, defence, and nuclear as we support our Industrial Members with the technological needs and challenges.

Figure 1. Loading of adhesive-free adhesion test specimen
Figure 1. Loading of adhesive-free adhesion test specimen
Figure 2. Photograph of specimen in a tensile testing machine
Figure 2. Photograph of specimen in a tensile testing machine
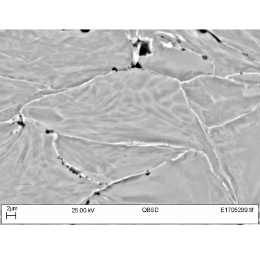
Figure 3. Backscattered SEM micrograph of cold spray deposited Ti-6Al-4V
Figure 3. Backscattered SEM micrograph of cold spray deposited Ti-6Al-4V
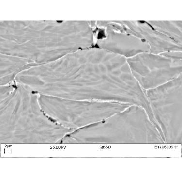
Figure 4. Backscattered SEM micrograph of cold spray deposited Ti-10V-2Fe-3Al
Figure 4. Backscattered SEM micrograph of cold spray deposited Ti-10V-2Fe-3Al
Figure 5. Cold spray technology proved effective for Ansaldo Energia
Figure 5. Cold spray technology proved effective for Ansaldo Energia
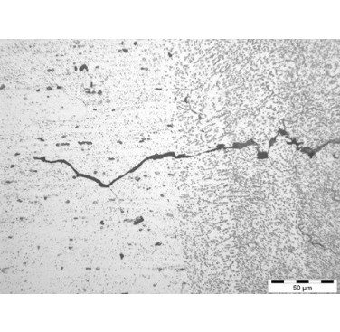
Figure 6. Crack in EB welded aluminium alloy 6061 (weld metal, right; parent material, left)
Figure 6. Crack in EB welded aluminium alloy 6061 (weld metal, right; parent material, left)
Figure 7. Crack-free EB weld in 6082 alloy made using cold sprayed buttering layer
Figure 7. Crack-free EB weld in 6082 alloy made using cold sprayed buttering layer
Figure 8. Microstructure of as-deposited cold spray ODS PM2000 using MA and GA powders
Figure 8. Microstructure of as-deposited cold spray ODS PM2000 using MA and GA powders
Figure 9. Cold spray additive manufactured ODS PM2000 plates
Figure 9. Cold spray additive manufactured ODS PM2000 plates
Figure 10. Cold spray deposited SS316 onto aluminium substrate, following machining of the cooling channel grooves
Figure 10. Cold spray deposited SS316 onto aluminium substrate, following machining of the cooling channel grooves
Figure 11. Microstructure of as-deposited cold spray ODS Eurofer97 using MA powder
Figure 11. Microstructure of as-deposited cold spray ODS Eurofer97 using MA powder
Figure 12. Example demonstration components produced using cold spray additive manufacturing
Figure 12. Example demonstration components produced using cold spray additive manufacturing
Figure 13. (a) Schematic of the Laser Assisted Cold Spray (LACS) process showing the positions of the laser processing head, pyrometer, and Cold Spray (CS) nozzle. (b) LACS hardware configuration attached to the Impact 5/11 gun
Figure 13. (a) Schematic of the Laser Assisted Cold Spray (LACS) process showing the positions of the laser processing head, pyrometer, and Cold Spray (CS) nozzle. (b) LACS hardware configuration attached to the Impact 5/11 gun
Figure 14. Optical micrographs of Ti6Al4V deposits comparing mesostructure, illustrating the presence of pores/defects in standard Cold Spray (CS) and Laser Assisted Cold Spray (LACS) deposits
Figure 14. Optical micrographs of Ti6Al4V deposits comparing mesostructure, illustrating the presence of pores/defects in standard Cold Spray (CS) and Laser Assisted Cold Spray (LACS) deposits
Figure 15. Cross-sectional SEM microstructure of interfaces showing Cold Spray (CS) and Laser Assisted Cold Spray (LACS) deposits of Ti6Al4V onto Ti6Al4V substrates
Figure 15. Cross-sectional SEM microstructure of interfaces showing Cold Spray (CS) and Laser Assisted Cold Spray (LACS) deposits of Ti6Al4V onto Ti6Al4V substrates
Figure 16. The Pearson correlation coefficient (PCC), mean absolute error (MAE), and root mean square error (RMSE) values for all the employed ML models: LR, DT, RF, GBOOST, XGBOOST, SVR_lin, SVR_poly, SVR_rbf, and ANN
Figure 16. The Pearson correlation coefficient (PCC), mean absolute error (MAE), and root mean square error (RMSE) values for all the employed ML models: LR, DT, RF, GBOOST, XGBOOST, SVR_lin, SVR_poly, SVR_rbf, and ANN
Figure 17. The figure showcases the hierarchical importance of the input features obtained from the SHAP method for the top five models: LR, DT, RF, XGBOOST, and SVR_lin. The hierarchical importance indicates which factor contributes the most to the formation of porosity during cold spray deposition of the Cantor alloy. Here, 'G' refers to gas type (He or N2), 'Pdr' refers to powder morphology, 'D' stands for stand-off distance, 'P' represents process gas pressure, and 'T' denotes process gas temperature
Figure 17. The figure showcases the hierarchical importance of the input features obtained from the SHAP method for the top five models: LR, DT, RF, XGBOOST, and SVR_lin. The hierarchical importance indicates which factor contributes the most to the formation of porosity during cold spray deposition of the Cantor alloy. Here, 'G' refers to gas type (He or N2), 'Pdr' refers to powder morphology, 'D' stands for stand-off distance, 'P' represents process gas pressure, and 'T' denotes process gas temperature
}